French Scientists Capture Groundbreaking Brain Images with World's Most Powerful MRI Scanner
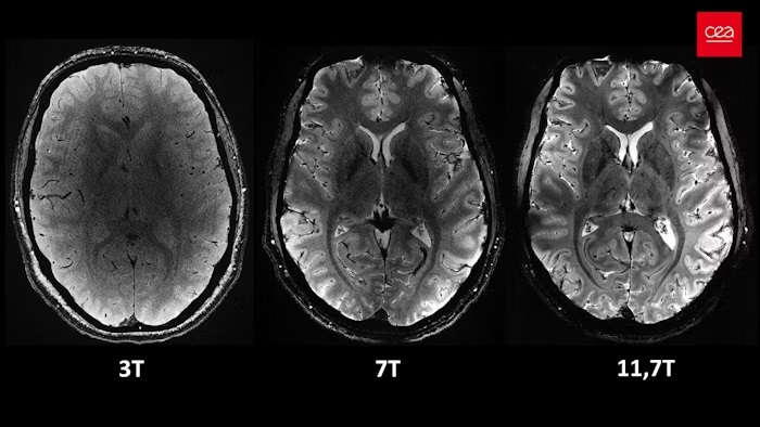
Scientists in France have achieved a major breakthrough in brain imaging, capturing the first ever MRI scans of the human brain in vivo at an incredible field strength of 11.7 tesla. This cutting-edge technology promises to revolutionize our understanding of the brain and unlock new possibilities for diagnosing and treating neurological disorders.
The project, known as Iseult, is the culmination of over two decades of research by a team at NeuroSpin, a leading brain imaging facility near Paris. The new MRI scanner boasts a magnetic field strength ten times stronger than those used in conventional hospital machines. This immense power translates into stunningly detailed images of the brain, revealing structures as small as a few thousand neurons.
"The first images surpassed our expectations," said Professor Denis Le Bihan, the project's leader. "We were able to capture mind-blowing brain images in just four minutes, with incredible detail and clarity." These images, he explains, would require hours to obtain with current MRI technology.
The unprecedented resolution of the Iseult scanner opens doors to a new era of brain exploration. Researchers hope to use it to investigate "small scale" diseases like chronic stroke and multiple sclerosis, as well as study the development of the brain in conditions like epilepsy. Additionally, the scanner's ability to visualize iron deposits holds promise for earlier and more accurate diagnoses of Parkinson's disease.
Beyond anatomy, the research team aims to leverage the scanner for functional MRI and diffusion MRI, allowing them to map neural circuits and brain connections. This could lead to a deeper understanding of the "neural code" underlying our cognitive abilities, potentially paving the way for breakthroughs in treatments for mental disorders such as schizophrenia, bipolar disorder, and autism.
The Iseult project is a collaborative effort involving over 200 scientists and engineers from various institutions. President Emmanuel Macron himself took to social media to congratulate the team on their achievement. With ongoing research and development, the Iseult scanner has the potential to transform not only brain research but also clinical applications, ultimately leading to better diagnosis, treatment, and management of neurological conditions.
 



.png) 




 

0 Comments